Neuroscience News logo for mobile.
        Neuroscience News Logo
          • Neuroscience
            • Featured
            • Neuroscience Videos
            • Neuro Web Stories
            • Open Access Neuroscience
            • Electrophysiology
            • Genetics
            • Neuroscience Programs
          • Neurology
            • Alzheimer’s Disease
            • Brain Research
            • Brain Cancer
            • Autism
            • Epilepsy
            • Traumatic Brain Injuries
            • Parkinson’s Disease
          • Psychology
            • Schizophrenia
            • Depression
            • Bipolar Disorder
            • Mental Health
          • AI
            • Neural Networks
            • Deep Learning
            • Machine Learning
          • Robotics
          • Neurotech
            • Brain Computer Interfaces
            • Neuroprosthetics
          • About
            • Neuroscience Newsletters
            • Submit Neuroscience News
            • Privacy Policy
            • Neuroscience News Sitemap
            • Contact Neuroscience News
            • Advertise on Neuroscience News
          A to Z
          • Latest
          • Oldest
          • Random
          • A to Z

          Open Neuroscience Articles

          Open access neuroscience articles are research articles that use at least one open access research paper as a reference. Open access articles are free for anyone to read.

          The image shows microtubule disintegration in alzheimer's disease.
          FeaturedNeurologyOpen Neuroscience Articles
          ·June 13, 2013·3 min read

          A Peptide to Protect Brain Function

          Researchers develop a protein called NAP which protects and restores nerve cell communication in some neurodegenerative diseases.
          Read More
          This shows an amazon echo
          FeaturedNeurologyNeuroscienceOpen Neuroscience Articles
          ·June 19, 2019·6 min read

          ‘Alexa, monitor my heart’: Researchers develop first contactless cardiac arrest AI system for smart speakers

          A new skill artificial intelligence app for smart speakers like Google Home and Amazon Echo can detect the gasping sounds of agonal breathing and call for help. The AI can detect breathing events with 97% accuracy from up to 20 meters away.
          Read More
          Image shows lymphatic vessels in the brain.
          FeaturedNeurologyNeuroscienceNeuroscience VideosOpen Neuroscience Articles
          ·October 3, 2017·5 min read

          ‘Drain Pipes’ in the Brain: Lymphatic Vessels Act As Pipeline Between Brain and Immune System

          A new study in eLife provides evidence that our brains may drain waste via our lymphatic vessels. The vessels may act as a 'pipeline' between the brain and immune system. Researchers say the findings could alter the way we think about how the brain and immune system inter-relate.
          Read More
          This shows two heads with a psychedelic background
          FeaturedNeuroscienceOpen Neuroscience ArticlesPsychology
          ·May 30, 2019·4 min read

          ‘Ecstasy’ shows promise for post-traumatic stress treatment

          MDMA shows promise for the treatment of post-traumatic stress disorder. Combining the use of Ecstasy with psychotherapy treatments resulted in a reduction of PTSD symptoms after just one session. 54% of the study participants no longer met the PTSD criteria after two sessions. Patients also reported improvements in depression symptoms.
          Read More
          Image shows a swirly graphic.
          FeaturedOpen Neuroscience ArticlesPsychology
          ·August 8, 2017·4 min read

          ‘Ego Dissolving’ Psychedelic Drugs Could Assist With Mental Health

          A new study in Neuroscience of Consciousness adds weight to previous findings about the potential benefits psychedelics could have for treating mental health disorders.
          Read More
          This is a cartoon of a mouse walking up a mountain surrounded by chemical symbols
          FeaturedNeuroscienceOpen Neuroscience Articles
          ·July 23, 2021·4 min read

          ‘Feel Good’ Brain Messenger Dopamine Can Be Willfully Controlled

          Study reveals mice can learn to manipulate random dopamine impulses for reward.
          Read More
          This shows an empty bed
          FeaturedNeuroscienceOpen Neuroscience ArticlesPsychology
          ·June 24, 2021·5 min read

          ‘Fight or Flight’ Discovery in Sleepwalkers Paves Way to New Understanding of Phenomenon

          The "fight or flight" response in those who sleepwalk is significantly lower than in those who sleep soundly at night.
          Read More
          Image shows itch and pain sensory neurons.
          FeaturedNeurologyNeuroscienceOpen Neuroscience ArticlesPain
          ·October 3, 2017·3 min read

          ‘Gatekeeper’ in Itching Sensation Plays No Role in Pain Transmission

          Researchers reveal a neurotransmitter implicated in the itch sensation plays no role in the transmission of pain sensations.
          Read More
          gut
          FeaturedNeuroscienceOpen Neuroscience Articles
          ·June 13, 2018·4 min read

          ‘Gut Instinct’ May Have Been the GPS of Human Ancestors

          Researchers have discovered another purpose for the gut-brain axis; relaying information to the hippocampus to store information about our environment and location.
          Read More
          This shows the researcher and his daughter
          FeaturedNeuroscienceOpen Neuroscience ArticlesPsychology
          ·May 17, 2019·4 min read

          ‘Imagine…’ Our attitudes can change solely by the power of imagination

          Our attitudes can be influenced by both our imagination and experiences. The ventromedial prefrontal cortex plays a key role by binding together information based on existing knowledge and constructing imaginary events to help shape our attitudes of a situation.
          Read More
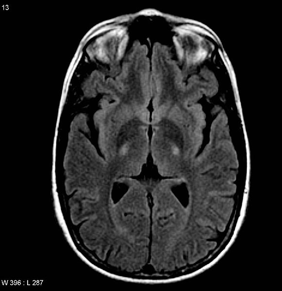
          This is a cross section MRI of a patient with ALS.
          FeaturedGeneticsOpen Neuroscience Articles
          ·October 16, 2013·6 min read

          ‘Individualized’ Therapy for the Brain Targets Specific Gene Mutations Causing Dementia and ALS

          Using neurons created from iPS cells derived from people with ALS, researchers develop a new drug which appears to halt the impact of the genetic mutations in some forms of ALS and dementia.
          Read More
          This shows DNA
          FeaturedGeneticsNeuroscienceOpen Neuroscience ArticlesPsychology
          ·August 21, 2019·4 min read

          ‘Key player’ identified in genetic link to psychiatric conditions

          CYFIP1 plays a key role in the damaging effects of 15q11.2 deletion. When CYFIP1 is missing, myelin abnormalities occur. The findings shed light on how psychiatric disorders, such as schizophrenia and autism, may develop.
          Read More
          1 2 3 … 536

          Trending Neuroscience of the Month

          This shows the outline of a head

          A New Theory in Physics Claims to Solve the Mystery of Consciousness

          This shows a woman surrounded by books.

          Hyper Brain, Hyper Body: The Trouble With High IQ

          This shows a woman writing.

          Handwriting Boosts Brain Connectivity and Learning

          This shows a woman writing in a journal

          Stronger Brain Activity After Writing on Paper Than on Tablet or Smartphone

          This shows a person playing tennis

          Short-Term Memories Key to Rapid Motor-Skill Learning, Not Long-Term Memory

          This shows a doctor and an AI head.

          AI vs. Human Therapists: Study Finds ChatGPT Responses Rated Higher

          This shows a brain

          How Trauma Changes the Brain

          rabbit duck illusion

          Optical Illusion Gives Insight Into How We Perceive the World

          This shows a neuron

          How Neurons That Wire Together Fire Together

          This shows a couple kissing

          Men can smell when a woman is sexually aroused

          Neuroscience News Footer Logo
          • Facebook
          • X
          • Instagram
          • YouTube
          • Linkedin

          Neuroscience News Sitemap
          Neuroscience Graduate and Undergraduate Programs
          Free Neuroscience MOOCs
          About
          Contact Us
          Privacy Policy
          Submit Neuroscience News
          Subscribe for Emails

          Neuroscience Research
          Psychology News
          Brain Cancer Research
          Alzheimer’s Disease
          Parkinson’s News
          Autism / ASD News
          Neurotechnology News
          Artificial Intelligence News
          Robotics News

          Search Neuroscience News

          Neuroscience News is an online science magazine offering free to read research articles about neuroscience, neurology, psychology, artificial intelligence, neurotechnology, robotics, deep learning, neurosurgery, mental health and more.

          Neuroscience News
          • Neuroscience
            • Featured
            • Neuroscience Videos
            • Neuro Web Stories
            • Open Access Neuroscience
            • Electrophysiology
            • Genetics
            • Neuroscience Programs
          • Neurology
            • Alzheimer’s Disease
            • Brain Research
            • Brain Cancer
            • Autism
            • Epilepsy
            • Traumatic Brain Injuries
            • Parkinson’s Disease
          • Psychology
            • Schizophrenia
            • Depression
            • Bipolar Disorder
            • Mental Health
          • AI
            • Neural Networks
            • Deep Learning
            • Machine Learning
          • Robotics
          • Neurotech
            • Brain Computer Interfaces
            • Neuroprosthetics
          • About
            • Neuroscience Newsletters
            • Submit Neuroscience News
            • Privacy Policy
            • Neuroscience News Sitemap
            • Contact Neuroscience News
            • Advertise on Neuroscience News
          Neuroscience News Small Logo
          • Neuroscience
            • Featured
            • Neuroscience Videos
            • Neuro Web Stories
            • Open Access Neuroscience
            • Electrophysiology
            • Genetics
            • Neuroscience Programs
          • Neurology
            • Alzheimer’s Disease
            • Brain Research
            • Brain Cancer
            • Autism
            • Epilepsy
            • Traumatic Brain Injuries
            • Parkinson’s Disease
          • Psychology
            • Schizophrenia
            • Depression
            • Bipolar Disorder
            • Mental Health
          • AI
            • Neural Networks
            • Deep Learning
            • Machine Learning
          • Robotics
          • Neurotech
            • Brain Computer Interfaces
            • Neuroprosthetics
          • About
            • Neuroscience Newsletters
            • Submit Neuroscience News
            • Privacy Policy
            • Neuroscience News Sitemap
            • Contact Neuroscience News
            • Advertise on Neuroscience News

          Categories

          • Artificial Intelligence
          • Auditory Neuroscience
          • Autism
          • Brain Cancer
          • Deep Learning
          • Electrophysiology
          • Events
          • Featured
          • Featured Articles
          • Genetics
          • Machine Learning
          • Most Popular
          • Neuroethics
          • Neurology
          • Neuroscience
          • Neuroscience Abstracts
          • Neuroscience Book Reviews
          • Neuroscience Business
          • Neuroscience Intros
          • Neuroscience News
          • Neuroscience News.com
          • Neuroscience Opinions
          • Neuroscience Videos
          • Neurotech
          • Open Neuroscience Articles
          • Pain
          • Psychology
          • Robotics
          • Sponsored Neuroscience News
          • Visual Neuroscience
          Neuroscience News LogoNeuroscience News
          This shows the outline of a head and leaves.

          Teenage Cannabis Use Linked to 52% Higher Schizophrenia Risk

          This shows a brain.

          Physical Activity Rewires the Traumatized Brain

          This shows a golden brain with DNA.

          Gene Linking Schizophrenia to Decision-Making Found

          This shows a child looking at a neuron.

          Positive Childhood Experiences and Special Health Care Needs

          Start typing to see results or hit ESC to close
          Neuroscience neurobiology brain research Psychology Neurology
          See all results

          Subscribe

          Neuroscience News Daily Emails
          Go to Appearance > Customize > Subscribe Pop-up to set this up.