Neuroscience News logo for mobile.
        Neuroscience News Logo
          • Neuroscience
            • Featured
            • Neuroscience Videos
            • Neuro Web Stories
            • Open Access Neuroscience
            • Electrophysiology
            • Genetics
            • Neuroscience Programs
          • Neurology
            • Alzheimer’s Disease
            • Brain Research
            • Brain Cancer
            • Autism
            • Epilepsy
            • Traumatic Brain Injuries
            • Parkinson’s Disease
          • Psychology
            • Schizophrenia
            • Depression
            • Bipolar Disorder
            • Mental Health
          • AI
            • Neural Networks
            • Deep Learning
            • Machine Learning
          • Robotics
          • Neurotech
            • Brain Computer Interfaces
            • Neuroprosthetics
          • About
            • Neuroscience Newsletters
            • Submit Neuroscience News
            • Privacy Policy
            • Neuroscience News Sitemap
            • Contact Neuroscience News
            • Advertise on Neuroscience News
          A to Z
          • Latest
          • Oldest
          • Random
          • A to Z

          Parkinson’s disease

          The image shows microtubule disintegration in alzheimer's disease.
          FeaturedNeurologyOpen Neuroscience Articles
          ·June 13, 2013·3 min read

          A Peptide to Protect Brain Function

          Researchers develop a protein called NAP which protects and restores nerve cell communication in some neurodegenerative diseases.
          Read More
          Image shows a cat.
          FeaturedNeurology
          ·October 18, 2017·2 min read

          ‘Cats-And-Dogs’ Test to Predict Dementia Among Parkinson’s Patients

          A test that uses images of cats and dogs may prove to be a quick and effective method of predicting which patients in early stages of Parkinson's disease will develop dementia.
          Read More
          This shows the outline of a head
          FeaturedNeurologyNeuroscienceOpen Neuroscience Articles
          ·November 1, 2022·4 min read

          ‘A Silent Killer’: COVID-19 Shown to Trigger Inflammation in the Brain

          COVID-19 infection activates the same inflammatory response in the brain as Parkinson's disease, a new study reports.
          Read More
          This shows neurons
          FeaturedNeurologyNeuroscience
          ·March 13, 2020·5 min read

          ‘Natural killer’ cells could halt Parkinson’s progression

          Natural killer cells may play a critical role in regulating and restraining neuroinflammation and protein clumping associated with Parkinson's disease.
          Read More
          This shows a brain
          FeaturedNeurologyNeuroscienceOpen Neuroscience Articles
          ·May 6, 2022·4 min read

          ‘Stressed’ Cells Offer Clues to Eliminating Build-up of Toxic Proteins in Dementia

          Study reveals a new mechanism that appears to reverse the build-up of protein aggregates by refolding them, rather than removing them.
          Read More
          Image shows a brain of an Alzheimer's patient.
          FeaturedGeneticsNeurologyOpen Neuroscience Articles
          ·March 9, 2017·6 min read

          “Jumping Genes” May Set the Stage for Brain Cell Death in Alzheimer’s

          Researchers have identified a mechanism that may explain how neurons falter during the earliest stages of Alzheimer's and other neurodegenerative diseases.
          Read More
          This shows a drawing of two faces looking at each other
          FeaturedGeneticsNeurologyNeuroscience
          ·June 9, 2022·5 min read

          A ‘Double Life’ for a Key Parkinson’s Disease Protein

          The Parkinson's-associated protein alpha-synuclein appears to act as a "toggle switch" that helps control vesicle transportation and gene expression. In a diseased state, this delicate balance is broken. The findings have implications for the development of new treatments for Parkinson's disease.
          Read More
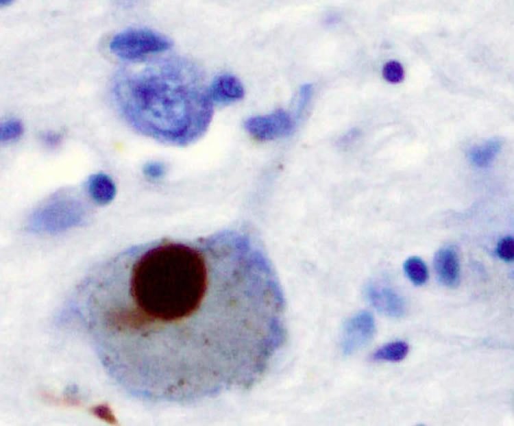
          This image shows positive α-Synuclein staining of a Lewy body in a patient with Parkinson's disease.
          FeaturedNeurology
          ·September 29, 2014·2 min read

          A “Frenemy” in Parkinson’s Disease Takes to Crowdsourcing

          A protein associated with Parkinson's disease regulates neurotransmission by self association, a new study reports.
          Read More
          Image shows a Second Life avatar.
          FeaturedNeurology
          ·January 6, 2016·3 min read

          A (Virtual) World Without Parkinson’s

          Researchers explore how people with Parkinson's disease make use of online, virtual reality environments.
          Read More
          Image shows Lewy bodies.
          FeaturedNeurology
          ·February 1, 2016·3 min read

          A Better Model for Parkinson’s Disease

          Researchers improve both animal and cell models for Parkinson's disease, a new study reports.
          Read More
          This shows a diagram from the study
          FeaturedNeurologyNeuroscienceOpen Neuroscience Articles
          ·May 26, 2022·5 min read

          A Biomarker That Can Diagnose Parkinson’s Disease

          Researchers have developed a new biomarker that will enable a rapid and inexpensive test for Parkinson's disease.
          Read More
          a brain
          FeaturedNeurology
          ·July 25, 2018·3 min read

          A Breath Test for Early Stage Parkinson’s

          Researchers have developed a sensor that can detect early stage Parkinson's disease by analyzing a sample of a patient's breath.
          Read More
          1 2 3 … 76

          Neuroscience Videos

          https://youtu.be/Pgxfd09FLEA

          Latest Neuro News

          • Teenage Cannabis Use Linked to 52% Higher Schizophrenia Risk
          • Physical Activity Rewires the Traumatized Brain
          • Gene Linking Schizophrenia to Decision-Making Found
          • Positive Childhood Experiences and Special Health Care Needs
          • Psychedelics Match, But Don’t Beat, Traditional Antidepressants
          Neuroscience News Footer Logo
          • Facebook
          • X
          • Instagram
          • YouTube
          • Linkedin

          Neuroscience News Sitemap
          Neuroscience Graduate and Undergraduate Programs
          Free Neuroscience MOOCs
          About
          Contact Us
          Privacy Policy
          Submit Neuroscience News
          Subscribe for Emails

          Neuroscience Research
          Psychology News
          Brain Cancer Research
          Alzheimer’s Disease
          Parkinson’s News
          Autism / ASD News
          Neurotechnology News
          Artificial Intelligence News
          Robotics News

          Search Neuroscience News

          Neuroscience News is an online science magazine offering free to read research articles about neuroscience, neurology, psychology, artificial intelligence, neurotechnology, robotics, deep learning, neurosurgery, mental health and more.

          Neuroscience News
          • Neuroscience
            • Featured
            • Neuroscience Videos
            • Neuro Web Stories
            • Open Access Neuroscience
            • Electrophysiology
            • Genetics
            • Neuroscience Programs
          • Neurology
            • Alzheimer’s Disease
            • Brain Research
            • Brain Cancer
            • Autism
            • Epilepsy
            • Traumatic Brain Injuries
            • Parkinson’s Disease
          • Psychology
            • Schizophrenia
            • Depression
            • Bipolar Disorder
            • Mental Health
          • AI
            • Neural Networks
            • Deep Learning
            • Machine Learning
          • Robotics
          • Neurotech
            • Brain Computer Interfaces
            • Neuroprosthetics
          • About
            • Neuroscience Newsletters
            • Submit Neuroscience News
            • Privacy Policy
            • Neuroscience News Sitemap
            • Contact Neuroscience News
            • Advertise on Neuroscience News
          Neuroscience News Small Logo
          • Neuroscience
            • Featured
            • Neuroscience Videos
            • Neuro Web Stories
            • Open Access Neuroscience
            • Electrophysiology
            • Genetics
            • Neuroscience Programs
          • Neurology
            • Alzheimer’s Disease
            • Brain Research
            • Brain Cancer
            • Autism
            • Epilepsy
            • Traumatic Brain Injuries
            • Parkinson’s Disease
          • Psychology
            • Schizophrenia
            • Depression
            • Bipolar Disorder
            • Mental Health
          • AI
            • Neural Networks
            • Deep Learning
            • Machine Learning
          • Robotics
          • Neurotech
            • Brain Computer Interfaces
            • Neuroprosthetics
          • About
            • Neuroscience Newsletters
            • Submit Neuroscience News
            • Privacy Policy
            • Neuroscience News Sitemap
            • Contact Neuroscience News
            • Advertise on Neuroscience News

          Categories

          • Artificial Intelligence
          • Auditory Neuroscience
          • Autism
          • Brain Cancer
          • Deep Learning
          • Electrophysiology
          • Events
          • Featured
          • Featured Articles
          • Genetics
          • Machine Learning
          • Most Popular
          • Neuroethics
          • Neurology
          • Neuroscience
          • Neuroscience Abstracts
          • Neuroscience Book Reviews
          • Neuroscience Business
          • Neuroscience Intros
          • Neuroscience News
          • Neuroscience News.com
          • Neuroscience Opinions
          • Neuroscience Videos
          • Neurotech
          • Open Neuroscience Articles
          • Pain
          • Psychology
          • Robotics
          • Sponsored Neuroscience News
          • Visual Neuroscience
          Neuroscience News LogoNeuroscience News
          This shows the outline of a head and leaves.

          Teenage Cannabis Use Linked to 52% Higher Schizophrenia Risk

          This shows a brain.

          Physical Activity Rewires the Traumatized Brain

          This shows a golden brain with DNA.

          Gene Linking Schizophrenia to Decision-Making Found

          This shows a child looking at a neuron.

          Positive Childhood Experiences and Special Health Care Needs

          Start typing to see results or hit ESC to close
          Neuroscience neurobiology brain research Psychology Neurology
          See all results

          Subscribe

          Neuroscience News Daily Emails
          Go to Appearance > Customize > Subscribe Pop-up to set this up.