Neuroscience News logo for mobile.
        Neuroscience News Logo
          • Neuroscience
            • Featured
            • Neuroscience Videos
            • Neuro Web Stories
            • Open Access Neuroscience
            • Electrophysiology
            • Genetics
            • Neuroscience Programs
          • Neurology
            • Alzheimer’s Disease
            • Brain Research
            • Brain Cancer
            • Autism
            • Epilepsy
            • Traumatic Brain Injuries
            • Parkinson’s Disease
          • Psychology
            • Schizophrenia
            • Depression
            • Bipolar Disorder
            • Mental Health
          • AI
            • Neural Networks
            • Deep Learning
            • Machine Learning
          • Robotics
          • Neurotech
            • Brain Computer Interfaces
            • Neuroprosthetics
          • About
            • Neuroscience Newsletters
            • Submit Neuroscience News
            • Privacy Policy
            • Neuroscience News Sitemap
            • Contact Neuroscience News
            • Advertise on Neuroscience News
          Random
          • Latest
          • Oldest
          • Random
          • A to Z

          traumatic brain injury

          FeaturedNeurology
          ·September 5, 2012·2 min read

          NFL Players May Be at Higher Risk of Death from Alzheimer’s and ALS

          Professional football players in this study were three times more likely to die as a result of diseases that damage brain cells compared to the general population. A player’s risk of death from Alzheimer’s disease or ALS was almost four times higher than the general population.
          Read More
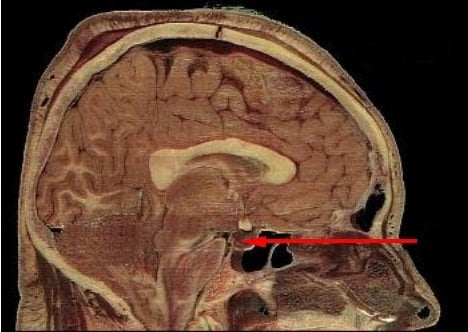
          This image shows the location of the pituitary gland in the human brain.
          FeaturedNeurology
          ·September 26, 2013·4 min read

          Soldiers With Blast Injuries Suffer Pituitary Hormone Problems

          Soldiers who suffered TBI as a result of an IED blast are more likely to have pituitary hormone problems than patients with TBI caused by accidents, a new study suggests.
          Read More
          Neurology
          ·May 8, 2012·2 min read

          Female and Younger Athletes Take Longer to Overcome Concussions

          New research out of Michigan State University reveals female athletes and younger athletes take longer to recover from concussions, findings...
          Read More
          top nn 2017
          FeaturedGeneticsNeurologyNeurosciencePsychology
          ·January 2, 2018·10 min read

          Top 20 Neuroscience News Stories of 2017

          2018 is almost upon us. We thought it would be a good time to take a look back at some of the most popular Neuroscience News stories of 2017.
          Read More
          Neurology
          ·November 10, 2011·3 min read

          New Test for Consciousness in Comatose Patients

          The Coma Science Group (CRCyclotron, University of Liège /Liège University Hospital), led by Dr Steven Laureys, has developed, along with...
          Read More
          Image shows a brain.
          FeaturedGeneticsNeurologyOpen Neuroscience Articles
          ·March 6, 2017·6 min read

          Head Injuries Can Alter Hundreds of Genes and Lead to Serious Brain Damage

          A new study reports head injuries can cause harm to genes in the brain, leading to an increased risk for neurological and psychiatric disorders.
          Read More
          Diagram of amyloid beta plaques attacking a cell.
          FeaturedNeurology
          ·February 3, 2016·5 min read

          Alzheimer’s Plaques Found in Brains of Middle Aged TBI Patients

          A new study reports amyloid plaques are present shortly after brain injury in middle aged people. The findings may help explain why people who suffer TBIs are at an increased risk for developing Alzheimer's.
          Read More
          The image is a drawing of an old man with the brain exposed and specific areas targeted.
          FeaturedNeurology
          ·May 7, 2013·1 min read

          Study Finds Increase in Fall-Related Traumatic Brain Injuries Among Elderly Men and Women

          Researchers note a considerable rise in the number of fall-induced traumatic brain injuries in elderly patients since the 1970's. Future studies are required to better understand the reasons for the increased numbers and provide effective interventions to prevent injury.
          Read More
          football player
          FeaturedNeurologyNeuroscience VideosOpen Neuroscience Articles
          ·September 13, 2017·3 min read

          A Popular Bottle-Breaking Trick Is Giving Insight to Brain Injuries

          Researchers provide an alternative formula to predict when cavitation will happen. The formula may be used to better predict brain injuries caused by high velocity impact.
          Read More
          brain
          FeaturedNeurology
          ·April 10, 2018·6 min read

          Study Confirms Link Between TBI and Dementia

          A new, large scale study reveals people who have experienced a traumatic brain injury have a significantly increased risk of developing dementia than those without a history of TBI.
          Read More
          This shows a woman covering her head
          FeaturedNeurologyNeuroscienceNeuroscience Videos
          ·July 2, 2019·6 min read

          Brain injury common in domestic violence

          Many survivors of domestic violence are likely to have experienced repeated head injuries and oxygen deprivation. The injuries resulted in memory loss, anxiety, and visual problems. Of the 49 people interviewed for this study, 81% report being hit in the head by their partner, while 83% report strangulation events.
          Read More
          Image shows a brain.
          FeaturedNeurologyOpen Neuroscience Articles
          ·September 30, 2017·5 min read

          Biomarker May Help Diagnose CTE During Life

          Until now, chronic traumatic encephalopathy could only be diagnosed post-mortem. Researchers have identified a potential biomarker that could help diagnose CTE during a person's lifetime.
          Read More
          1 2 3 … 22

          Neuroscience Videos

          https://youtu.be/Pgxfd09FLEA

          Latest Neuro News

          • Teenage Cannabis Use Linked to 52% Higher Schizophrenia Risk
          • Physical Activity Rewires the Traumatized Brain
          • Gene Linking Schizophrenia to Decision-Making Found
          • Positive Childhood Experiences and Special Health Care Needs
          • Psychedelics Match, But Don’t Beat, Traditional Antidepressants
          Neuroscience News Footer Logo
          • Facebook
          • X
          • Instagram
          • YouTube
          • Linkedin

          Neuroscience News Sitemap
          Neuroscience Graduate and Undergraduate Programs
          Free Neuroscience MOOCs
          About
          Contact Us
          Privacy Policy
          Submit Neuroscience News
          Subscribe for Emails

          Neuroscience Research
          Psychology News
          Brain Cancer Research
          Alzheimer’s Disease
          Parkinson’s News
          Autism / ASD News
          Neurotechnology News
          Artificial Intelligence News
          Robotics News

          Search Neuroscience News

          Neuroscience News is an online science magazine offering free to read research articles about neuroscience, neurology, psychology, artificial intelligence, neurotechnology, robotics, deep learning, neurosurgery, mental health and more.

          Neuroscience News
          • Neuroscience
            • Featured
            • Neuroscience Videos
            • Neuro Web Stories
            • Open Access Neuroscience
            • Electrophysiology
            • Genetics
            • Neuroscience Programs
          • Neurology
            • Alzheimer’s Disease
            • Brain Research
            • Brain Cancer
            • Autism
            • Epilepsy
            • Traumatic Brain Injuries
            • Parkinson’s Disease
          • Psychology
            • Schizophrenia
            • Depression
            • Bipolar Disorder
            • Mental Health
          • AI
            • Neural Networks
            • Deep Learning
            • Machine Learning
          • Robotics
          • Neurotech
            • Brain Computer Interfaces
            • Neuroprosthetics
          • About
            • Neuroscience Newsletters
            • Submit Neuroscience News
            • Privacy Policy
            • Neuroscience News Sitemap
            • Contact Neuroscience News
            • Advertise on Neuroscience News
          Neuroscience News Small Logo
          • Neuroscience
            • Featured
            • Neuroscience Videos
            • Neuro Web Stories
            • Open Access Neuroscience
            • Electrophysiology
            • Genetics
            • Neuroscience Programs
          • Neurology
            • Alzheimer’s Disease
            • Brain Research
            • Brain Cancer
            • Autism
            • Epilepsy
            • Traumatic Brain Injuries
            • Parkinson’s Disease
          • Psychology
            • Schizophrenia
            • Depression
            • Bipolar Disorder
            • Mental Health
          • AI
            • Neural Networks
            • Deep Learning
            • Machine Learning
          • Robotics
          • Neurotech
            • Brain Computer Interfaces
            • Neuroprosthetics
          • About
            • Neuroscience Newsletters
            • Submit Neuroscience News
            • Privacy Policy
            • Neuroscience News Sitemap
            • Contact Neuroscience News
            • Advertise on Neuroscience News

          Categories

          • Artificial Intelligence
          • Auditory Neuroscience
          • Autism
          • Brain Cancer
          • Deep Learning
          • Electrophysiology
          • Events
          • Featured
          • Featured Articles
          • Genetics
          • Machine Learning
          • Most Popular
          • Neuroethics
          • Neurology
          • Neuroscience
          • Neuroscience Abstracts
          • Neuroscience Book Reviews
          • Neuroscience Business
          • Neuroscience Intros
          • Neuroscience News
          • Neuroscience News.com
          • Neuroscience Opinions
          • Neuroscience Videos
          • Neurotech
          • Open Neuroscience Articles
          • Pain
          • Psychology
          • Robotics
          • Sponsored Neuroscience News
          • Visual Neuroscience
          Neuroscience News LogoNeuroscience News
          This shows the outline of a head and leaves.

          Teenage Cannabis Use Linked to 52% Higher Schizophrenia Risk

          This shows a brain.

          Physical Activity Rewires the Traumatized Brain

          This shows a golden brain with DNA.

          Gene Linking Schizophrenia to Decision-Making Found

          This shows a child looking at a neuron.

          Positive Childhood Experiences and Special Health Care Needs

          Start typing to see results or hit ESC to close
          Neuroscience neurobiology brain research Psychology Neurology
          See all results

          Subscribe

          Neuroscience News Daily Emails
          Go to Appearance > Customize > Subscribe Pop-up to set this up.