Neuroscience News logo for mobile.
        Neuroscience News Logo
          • Neuroscience
            • Featured
            • Neuroscience Videos
            • Neuro Web Stories
            • Open Access Neuroscience
            • Electrophysiology
            • Genetics
            • Neuroscience Programs
          • Neurology
            • Alzheimer’s Disease
            • Brain Research
            • Brain Cancer
            • Autism
            • Epilepsy
            • Traumatic Brain Injuries
            • Parkinson’s Disease
          • Psychology
            • Schizophrenia
            • Depression
            • Bipolar Disorder
            • Mental Health
          • AI
            • Neural Networks
            • Deep Learning
            • Machine Learning
          • Robotics
          • Neurotech
            • Brain Computer Interfaces
            • Neuroprosthetics
          • About
            • Neuroscience Newsletters
            • Submit Neuroscience News
            • Privacy Policy
            • Neuroscience News Sitemap
            • Contact Neuroscience News
            • Advertise on Neuroscience News
          Oldest
          • Latest
          • Oldest
          • Random
          • A to Z

          Alzheimer’s disease

          ElectrophysiologyFeatured
          ·July 9, 2010·4 min read

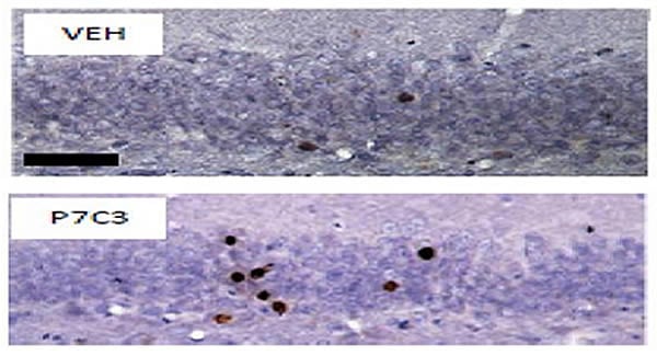
          Chemical P7C3 Grows New Neurons and Improves Learning

          Scientists find the chemical P7C3 grows new neuronal growth within the dentate gyrus and improves learning and memory.
          Read More
          FeaturedGeneticsNeuroscience
          ·July 11, 2010·2 min read

          Research Shows Sirt1 Enhances Synaptic Plasticity And Memory

          Researchers at MIT have discovered that Sirtuin1, a protein encoded by the SIRT1 gene, promotes synaptic plasticity and boosts memory.
          Read More
          A library aisle is shown.
          FeaturedNeuroscience
          ·July 26, 2010·3 min read

          Early Education Fights Dementia

          Brain research reveals a correlation between amount of education and dementia.
          Read More
          FeaturedNeuroscience
          ·July 29, 2010·3 min read

          New Molecular Clue About Cause Of Brain Cell Death In Neurodegenerative Diseases

          Researchers at Sanford-Burnham Medical Research Institute have discovered a new molecular clue about the cause of brain cell death in Alzheimer's, Parkinson's and Huntington's diseases.
          Read More
          FeaturedNeuroscience
          ·August 2, 2010·2 min read

          Neuroglobin Could Be Key To Preventing Alzheimer’s Disease

          Research scientists from UC Davis and the University of Auckland have discovered that neuroglobin might be key to preventing Alzheimer's disease. Neuroglobin can prevent apoptosis in response to nautral stress.
          Read More
          FeaturedNeuroscience
          ·August 10, 2010·3 min read

          Perforant Path Identified in Humans – Early ID of Alzheimer’s Possible

          UC Irvine researchers have identified the perforant path in humans with the diffusion tensor imaging technique.
          Read More
          FeaturedNeurology
          ·September 22, 2010·3 min read

          Can Career Choices Influence Dementia?

          Correlating data from 588 patients diagnosed with frontotemporal lobe degeneration (FTLD), researchers found that subjects with professions which related highly for verbal skills had greater tissue loss on the right hand side of the brain. By contrast, those whose professions required less aptitude for verbal skills, for example flight engineers, had more tissue damage to the left hand side of the brain.
          Read More
          FeaturedNeuroscience
          ·November 30, 2010·3 min read

          Diabetes Slows Synthesis of Brain Cholesterol

          Diabetes research with mice has shown that diabetes can slow down the synthesis of brain cholesterol, important in synapse formation and many other neuronal functions.
          Read More
          ElectrophysiologyFeaturedNeuroscience
          ·December 9, 2010·3 min read

          Acetylcholine and SK Channels Involved in Learning and Memory

          New research on learning describes the interaction between acetlycholine receptors and SK channels and their involvement in learning and memory. These findings could lead to new research targeting acetylcholine and SK channels to help cognitive disorders such as Alzheimer's disease and schizophrenia as well as help understand learning and memory better.
          Read More
          The image is a diagram showing the formation of beta-amyloid.
          FeaturedNeurologyNeuroscience
          ·December 9, 2010·5 min read

          Beta-amyloid Removal Problems May Underlie Alzheimer’s Disease

          The removal of beta-amyloid is not efficient in late-onset Alzheimer's disease sufferers. These new findings could help produce better early diagnostic tests and therapies for Alzheimer's disease and related research.
          Read More
          FeaturedGeneticsNeuroscience
          ·December 20, 2010·2 min read

          Another Marathon Mouse Engineered – Boosting Acetylcholine Reduces Fatigue

          After inserting a gene into mice that increases choline transporter and as a result increases acetylcholine at the neuromuscular junctions, the engineered mice were able to run on treadmills twice as long as controls without the inserted gene.
          Read More
          FeaturedNeurology
          ·January 18, 2011·2 min read

          Protein Misfolding and Aggregation Roles in Neurodegenerative Diseases

          Max Planck researchers discovered that large, less hydrophobic proteins with a significant increase of disorder in their structures were more...
          Read More
          1 2 3 … 211

          Neuroscience Videos

          https://youtu.be/Pgxfd09FLEA

          Latest Neuro News

          • Spiritual Distress Is a Clinical Reality in Brain Disease
          • Most Insomnia Meds Don’t Worsen Sleep Apnea
          • Ghost in the Machine: Brain Predicts Images Before We See Them
          • Dog-Inspired Robot: How Gestures Help AI Master the Art of “Fetch”
          • Spectrum of Hyperarousal: Seven Distinct Types of Tension Identified
          Neuroscience News Footer Logo
          • Facebook
          • X
          • Instagram
          • YouTube
          • Linkedin

          Neuroscience News Sitemap
          Neuroscience Graduate and Undergraduate Programs
          Free Neuroscience MOOCs
          About
          Contact Us
          Privacy Policy
          Submit Neuroscience News
          Subscribe for Emails

          Neuroscience Research
          Psychology News
          Brain Cancer Research
          Alzheimer’s Disease
          Parkinson’s News
          Autism / ASD News
          Neurotechnology News
          Artificial Intelligence News
          Robotics News

          Search Neuroscience News

          Neuroscience News is an online science magazine offering free to read research articles about neuroscience, neurology, psychology, artificial intelligence, neurotechnology, robotics, deep learning, neurosurgery, mental health and more.

          Neuroscience News
          • Neuroscience
            • Featured
            • Neuroscience Videos
            • Neuro Web Stories
            • Open Access Neuroscience
            • Electrophysiology
            • Genetics
            • Neuroscience Programs
          • Neurology
            • Alzheimer’s Disease
            • Brain Research
            • Brain Cancer
            • Autism
            • Epilepsy
            • Traumatic Brain Injuries
            • Parkinson’s Disease
          • Psychology
            • Schizophrenia
            • Depression
            • Bipolar Disorder
            • Mental Health
          • AI
            • Neural Networks
            • Deep Learning
            • Machine Learning
          • Robotics
          • Neurotech
            • Brain Computer Interfaces
            • Neuroprosthetics
          • About
            • Neuroscience Newsletters
            • Submit Neuroscience News
            • Privacy Policy
            • Neuroscience News Sitemap
            • Contact Neuroscience News
            • Advertise on Neuroscience News
          Neuroscience News Small Logo
          • Neuroscience
            • Featured
            • Neuroscience Videos
            • Neuro Web Stories
            • Open Access Neuroscience
            • Electrophysiology
            • Genetics
            • Neuroscience Programs
          • Neurology
            • Alzheimer’s Disease
            • Brain Research
            • Brain Cancer
            • Autism
            • Epilepsy
            • Traumatic Brain Injuries
            • Parkinson’s Disease
          • Psychology
            • Schizophrenia
            • Depression
            • Bipolar Disorder
            • Mental Health
          • AI
            • Neural Networks
            • Deep Learning
            • Machine Learning
          • Robotics
          • Neurotech
            • Brain Computer Interfaces
            • Neuroprosthetics
          • About
            • Neuroscience Newsletters
            • Submit Neuroscience News
            • Privacy Policy
            • Neuroscience News Sitemap
            • Contact Neuroscience News
            • Advertise on Neuroscience News

          Categories

          • Artificial Intelligence
          • Auditory Neuroscience
          • Autism
          • Brain Cancer
          • Deep Learning
          • Electrophysiology
          • Events
          • Featured
          • Featured Articles
          • Genetics
          • Machine Learning
          • Most Popular
          • Neuroethics
          • Neurology
          • Neuroscience
          • Neuroscience Abstracts
          • Neuroscience Book Reviews
          • Neuroscience Business
          • Neuroscience Intros
          • Neuroscience News
          • Neuroscience News.com
          • Neuroscience Opinions
          • Neuroscience Videos
          • Neurotech
          • Open Neuroscience Articles
          • Pain
          • Psychology
          • Robotics
          • Sponsored Neuroscience News
          • Visual Neuroscience
          Neuroscience News LogoNeuroscience News
          This shows a doctor and the outline of a person.

          Spiritual Distress Is a Clinical Reality in Brain Disease

          This shows a head and pills.

          Most Insomnia Meds Don’t Worsen Sleep Apnea

          This shows a blurry head made up of tiny images.

          Ghost in the Machine: Brain Predicts Images Before We See Them

          This shows a robot dog.

          Dog-Inspired Robot: How Gestures Help AI Master the Art of “Fetch”

          Start typing to see results or hit ESC to close
          Neuroscience neurobiology brain research Psychology Neurology
          See all results

          Subscribe

          Neuroscience News Daily Emails
          Go to Appearance > Customize > Subscribe Pop-up to set this up.